Content
Primary content
Product
- Features
-
A new horizon in prosthesis
Product detail
Approfondimenti - Insights
Printing in transparent flask technique
DEI® italia, always cutting edge Company, it has been the first to propose photosensitive hybrids composites and micro hybrids in Italy.
Forefront also in dental laboratory, thanks to the molding technique by Dental Technician and Consultant Researcher Mr. Paolo Pagliari, the first in the world to have invented a molding technique in a transparent flask, DEI® italia has designed and inserted into the market a range of materials to implement a correct protocol for definitive prosthetic realization with the use of composite.
Protocols and materials were subjected to a series of scientific validations that have confirmed the validity of the system. it is therefore a great satisfaction to see now, after 20 years, the countless attempts
of imitation by Italian and foreign competitors.
DEI® italia is the only Company to have achieved a composite (DEI® experience) that, in addition to having excellent aesthetic qualities, low water absorption, mechanical properties suitable both for the direct or indirect conservative, is also indicated for the realization of the prosthetic with the use of glass fibers or carbon, metals, disilicate and zirconium.
DEI® experience, thanks to a distinguished viscosity, allows to obtain Monolithic prosthesis with long life so far even imaginable !
DEI® italia, by the use of a product so unique (DEI® Seal Coat Fast) in a protocol validated by the academic research, ensures a sealing of micro porosity surface and very low values of roughness never
achieved before. Thanks to this special protocol absorptions can be eliminated that, cause of yellowing and engraftment of bacterial plaque giving also a hardness higher than the artifact.
For this reason DEI® italia certifies dental technicians by granting them to affix the brand MCM® (Monolithic Composite Method) and so they can undertake to use their products and protocols as a guarantee for dentists and their patients.
Odt. Paolo Pagliari
Consultant Researcher DEI® italia products
An innovative technique in laboratory
It is possible to join to the system a technique innovative and at the same time tested from several years (from 1989 - see ”Laboratorio Odontotecnico”, n. 10, October 1992) and devised by Odt. Paolo Pagliari. Using it the dental technician can revolutionize his work for producing bridges, crowns and veneers, with remarkable reductions of times and costs, and standardization of production steps, always keeping best quality with extreme easiness.
The technique is based on production of elements in composite through their ”printing” using an instrument, ”Transparent Flask”, where the composite is inserted.
The polymerization of the composite takes place in anaerobic environment and under pressure, considerably improving the technical properties of the material and creating a bright surface without recourse to burs or abrasive tools. This situation gives a remarkable advantage, as the main cause of exogenous decolourizations of the plaque buildup and excessive liquid adsorption depends on the surface roughness of the composite and on the layer of surface dispersion caused by presence of oxygen during the photopolymerization (this difficulty is got over at the dentist’s using DEI® Surface Hardener and DEI® experience Seal Coat Fast).
Foto e video - Photos and video
Images
-
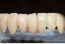
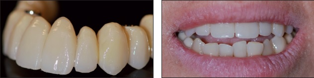
Some steps of MCM® technique of stratification and printing in flask
-
Why MCM® - Monolithic Composite Method is a step forward in prosthesis - 1 -
-
Why MCM® - Monolithic Composite Method is a step forward in prosthesis - 2 -
-
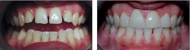
Clinical cases in prosthesis - Conometry with galvanic crown (Odt. Pagliari)
-
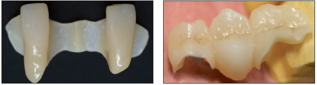
Clinical cases in prosthesis - 3 elements Maryland (Odt. Pagliari)
-
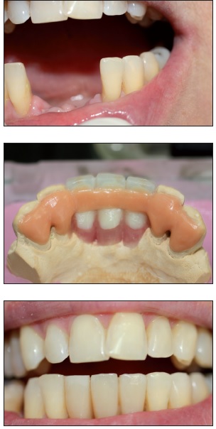
Clinical cases in prosthesis - Maryland & California Bridge (Odt. Pagliari)
-
Clinical cases in prosthesis - Onlay Overlay (Dr. Seeberger - Odt. Pagliari)
-
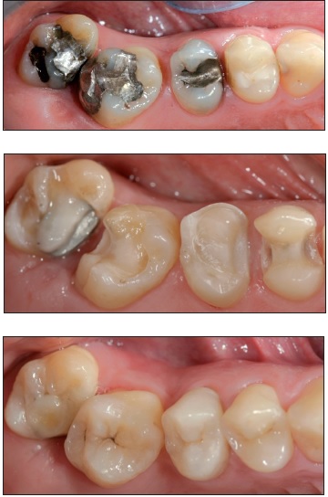
Clinical cases in prosthesis - Onlay Inlay (Odt. Colella)
-
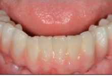
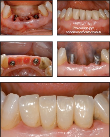
Clinical cases in prosthesis - MCM® EXPERIENCE Composite on DREAM FRAME Toronto on immediate loading (Odt. Savioli)
-
Clinical case kindly supplied by P. Cardelli, F. Balestra, F. Fiorini, M. Gallio, M. Montani, R. Ranaldi, Prof. A. Barlattani University of Roma ”Tor Vergata” - Medicine and Surgery Faculty Course of specialistic degrees in dentistry and dental prosthesis Professorship of prosthesis - Director Prof. A. Barlattani
-
Clinical cases in prosthesis - Prosthesis for immediate loading on implantations (Lab. Dental Master)
-
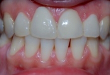
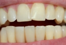
Clinical cases in prosthesis - Additional veneers (without preparation) (Odt. Di Filippo)
Documentazione - Documentation
-
Catalogo MCM
Download document