Content
Primary content
Product
- Caratteristiche
-
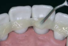
E' una fibra multi-direzionale innovativa ideata per realizzare sottostrutture di ponti a tre elementi nei settori posteriori, ponti con due estensioni nei settori anteriori, Maryland provvisori per implanto-protesi, splintaggio di denti paradontosici, rinforzo di protesi mobili e amovibili, Inlay, Onlay.
- Vantaggi
-
- La resistenza alla flessione di DEI® experience Multi Fibre Bridge è quasi doppia rispetto alla resistenza di un dente molare naturale
- Estetica: non necessita di strutture metalliche
- Distribuzione uniforme degli stress di masticazione
- Leggera e sottile: permette la preparazione di strutture con spessori ridotti
- Costi di produzione limitati rispetto ad altre metodiche
- Riparabile direttamente in bocca
- Facile adattabilità e manualità semplificata
- Biocompatibile
- Comportamento meccanico completamente diverso da strutture metallo-ceramiche
- Riduzione dell’abrasione di antagonisti naturali